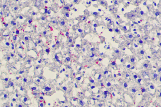
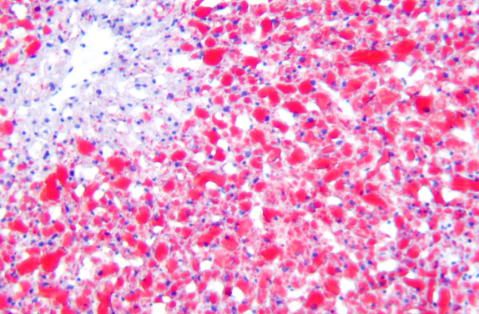
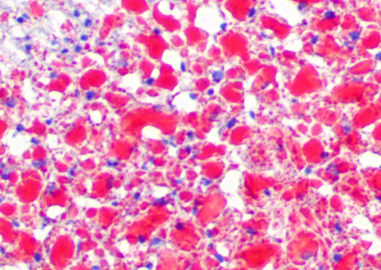
油红O脂肪染色法 油红O脂肪染色法是指在日常病理诊断和科研工作中为了显示组织内的脂肪常采用油红O进行染色的方法,油红O为脂溶性染料,在脂肪内能高度溶解,可特异性的使组织内甘油三酯等中性脂肪着色。 应用: 人或动物的肝组织等,冰冻切片,厚10μm。 标本留取: 新鲜组织 结果: 肝细胞内的脂肪滴呈红色,细胞核呈蓝色。 讨论: 传统配制油红O染液 ,所用的丙酮和异丙醇极易挥发,致使染液产生沉淀,染色时易在组织片上留下红色的结晶,而影响结果的判断。同时染液不易保存,每次染色时需要重新配制。我们经实验,采用50%乙醇作为溶解剂,减少了丙酮和异丙醇易挥发对人体的危害,染液不易产生沉淀;分化剂与油红O染液中的溶剂性质相似,这样利于切片上多余染液的分化,故组织切片上没有结晶产生。从而为病理诊断及鉴别诊断提供了可靠技术方法。组织常规用中性福尔马林固定,但用甲醛—钙液(40%甲醛10ml,蒸馏水90m1,氯化钙1g)固定效果更好,这样有利于保存磷脂。 封固显示脂肪的切片时,切片不宜太干,否则易产生气泡。发现有气泡,不能压盖玻片驱赶,因为这样会使脂滴移位。若有气泡可用温水浸掉盖玻片,而后再封固。 该方法操作简便,染色结果鲜艳,染液可反复使用。
油红O染色-40倍肝脏 
200倍肝脏

吃过高脂饲料的大鼠肝组织(100X)

大鼠肝组织(200X) 
|