脂肪细胞小知识
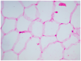
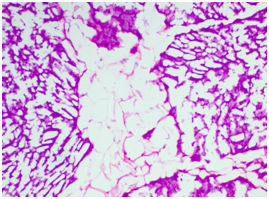
脂肪细胞可分为白色和棕色脂肪细胞两大类,两类脂肪细胞在形态、功能和来源方面都有很大的差异。 白色脂肪细胞形态为单泡脂肪细胞,即在一个白色脂肪细胞内,90%的细胞体积被脂滴占据,把细胞质挤到细胞的边缘,形成一个“圆环”样细胞质;并且细胞核也被挤扁、挤平,形成一个“半月”形的细胞核,只占细胞体积的2%~3%。一层薄薄的膜把脂滴和细胞质分开来。细胞质内的细胞器比较少,细胞中心的脂滴95%的成分都是甘油三酯,也包含一些游离脂肪酸、磷脂和胆固醇。 褐色脂肪细胞属于多泡脂肪细胞,其细胞内散在许多小脂滴,线粒体大而丰富,核圆形,位于细胞中央。棕色脂肪组织的作用是产生热量。棕色脂肪组织代谢率非常高。在哺乳动物新生幼崽、冬眠动物和啮齿类动物中,棕色脂肪组织不仅在寒冷的环境中用来维持体温稳定,当它们进食过多时,棕色脂肪组织也可以将进食过多而多摄入体内的这部分能量,直接转化为热量,从皮肤表面散发。 脂肪组织具有非凡的生长能力。它可以通过两种方式往外扩展:通过增加单个脂肪细胞的大小,以及通过脂肪生成过程从祖细胞中生成脂肪细胞。 脂肪细胞和分泌多种激素:脂联素、抵抗素等激素,还具有完整的肾素2血管紧张素系统(RAS)的活性。

 
400X 200X 内蒙古农业大学张老师提供的绵羊脂肪组织标本,北京华英生物技术研究所HE染色 作为科普文摘,北京华英生物技术研究所技术部依据相关文献整理(百度百科、自然杂志等)
|