客户服务
 关 键 字:
 产品类别:
  多肽及试剂盒
  2024年产品目录
实验室分类
      临床检验实验室  
      生化实验室  
      酶标实验室  
      血流变实验室  
      病理实验室  
      特种蛋白实验室  
      免疫印迹实验室  
      流式细胞实验室  
      PCR实验室  
      放免实验室  
      化学发光实验室  
      微生物实验室  
      标本准备实验室  
激素蛋白类放免产品
      甲状腺类  
      肿瘤类  
      生殖、生理、性激素  
      心血管、糖尿病类  
      血液病、肾病及细胞因  
      脑肠肽类  
      固相包被类  
      其他诊断试剂  
      肝纤化类  
      特种蛋白类诊断试剂  
      骨代谢类诊断试剂  
酶标产品类
      细胞因子诊断试剂  
      肝炎类定性产品  
      优生优育类  
      肿瘤系列  
      甲状腺系列  
      多肽及其它  
      其他诊断试剂  
多肽、一抗、二抗
      多肽  
      一抗  
      二抗  
免疫组化试剂盒
      免疫组织化学常用试剂  
      免疫印迹常用试剂  
      免疫组化标本前处理试  
ELISA试剂盒
      甲状腺类  
      肿瘤类  
      生殖、生理、性激素类  
      心血管、糖尿病类  
      肝纤化类  
      血液类  
      肾病类  
      细胞因子类  
      特种蛋白类  
      骨代谢类  
      脑肠肽、神经肽类  
      其他诊断试剂  
实验与交流
华英实验中心
      华英实验中心  
包装与运输
其它诊断试剂
      化学发光免疫分析试剂  
      化学发光检测试剂盒  
      血细胞分析仪试剂  
      细胞凋亡检测试剂盒  
      细胞因子  
      生化试剂  
      金标快速检测试剂  
抗凝剂
 
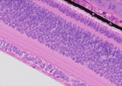
您的位置:首页 >> 产品介绍 >> 鸡眼球HE扫描切片
 
 

                                  鸡眼球HE扫描切片




f86ece12829e8ca79bce0319e3c10e9.png


3d628f2a084b03b475e5a9055885ae7.png

鸡眼球HE图片描述:色素上皮细胞层、感光细胞层、双极细胞层、节细胞层,各层细胞结构排列整齐,形态良好,未见断裂,细胞间无裂隙,细胞核清晰可见,节细胞层排列整齐紧密,节细胞条带、感光细胞层密度及宽度正常。

 
北京华英生物技术研究所 版权所有
免费电话:8008109828 邮编:100036 北京华英生物技术研究所 电话:(010)56146198 (010)88114651 传真:(010)88112680
QQ客服:1749417768 客户服务 网 址:北京华英生物技术研究所 www.sinoukbio.com   E-Mail: sinouk@163.com 
京ICP备09006766号